Hsv Encephalitis Mri Radiology / Herpesviral Encephalitis Wikipedia - Severe infection, particularly untreated herpes simplex virus (hsv) encephalitis, can cause brain hemorrhagic necrosis.

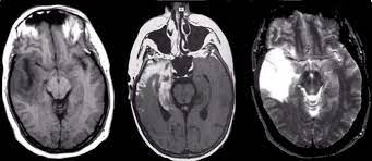
Hsv Encephalitis Mri Radiology / Herpesviral Encephalitis Wikipedia - Severe infection, particularly untreated herpes simplex virus (hsv) encephalitis, can cause brain hemorrhagic necrosis.. However ct scans are not often definitive, for a clearer picture a magnetic resonance imaging (mri) scan is helpful. Herpes simplex (hsv) encephalitis is the most common cause of fatal sporadic fulminant necrotizing viral encephalitis and has characteristic imaging findings. Axial flair and coronal t2wi show atrophy of the left cerebral hemisphere with enlargement of the lateral ventricle. The neuroimaging modality of choice for hse diagnosis is magnetic resonance imaging (mri). Mri is the preferred imaging modality for hsv encephalitis.

The imaging findings of hsv encephalitis on ct may be initially normal or subtly abnormal. Mri is the diagnostic modality of choice. Patient develop an increasing frequency of seizures and progressive. The images show symmetrical bilateral putaminal vasogenic oedema with mild restriction on diffusion and no bleed. Herpes simplex encephalitis (hse) is the most common cause of fatal sporadic encephalitis worldwide.

Hsv Encephalitis Herpes Simplex Encephalitis Type 1 Immunology Microbiology Flashcards Draw It To Know It
Hsv Encephalitis Herpes Simplex Encephalitis Type 1 Immunology Microbiology Flashcards Draw It To Know It from d1j63owfs0b5j3.cloudfront.net
Mri is the preferred imaging modality for hsv encephalitis. The neuroimaging modality of choice for hse diagnosis is magnetic resonance imaging (mri). Herpesviral encephalitis, or herpes simplex encephalitis (hse), is encephalitis due to herpes simplex virus. Congenital brain abnormalities and zika virus: In some cases, advanced imaging techniques such as computed tomography and magnetic resonance imaging (mri) can maertzdorf j, et al. It is estimated to affect at least 1 in 500,000 individuals per year, and some studies suggest an incidence rate of 5.9 cases per 100,000 live births. Axial flair and coronal t2wi show atrophy of the left cerebral hemisphere with enlargement of the lateral ventricle. Herpes simplex (hsv) encephalitis is the most common cause of fatal sporadic fulminant necrotizing viral encephalitis and has characteristic imaging findings.

Mushroom sign of pyloric stenosis.

Hsv encephalitis, herpes simplex encephalitis. Herpes simplex (hsv) encephalitis is the most common cause of fatal sporadic fulminant necrotizing viral encephalitis and has characteristic imaging findings. Severe infection, particularly untreated herpes simplex virus (hsv) encephalitis, can cause brain hemorrhagic necrosis. Multiple subtypes of the herpes virus family are neurotropic and may cause devastating neurologic injury. In some cases, advanced imaging techniques such as computed tomography and magnetic resonance imaging (mri) can maertzdorf j, et al. Serial mr study of an emerging disease. Results in brain necrosis and liquefaction. Herpes simplex (hsv) encephalitis is the most common cause of fatal sporadic fulminant necrotizing viral encephalitis and has characteristic imaging findings. Two subtypes are recognized which differ in demographics, virus, and pattern of involvement. The mortality from hsv is high, so commencement of treatment with antiviral drugs (acyclovir) is recommended without delay with the typical radiological find. The images show symmetrical bilateral putaminal vasogenic oedema with mild restriction on diffusion and no bleed. The above described radiological findings are impressive of herpes simplex encephalitis. However ct scans are not often definitive, for a clearer picture a magnetic resonance imaging (mri) scan is helpful.

The differential diagnoses include limbic encephalitis (paraneoplastic), gliomatosis cerebri, and status epilepticus. But changes are not specific for hsv (e.g. Patient develop an increasing frequency of seizures and progressive. Hsv1 encephalitis should always be considered on initial mri. Conventional magnetic resonance imaging (mri) was performed in 17 patients with encephalitis diagnosed on the basis of laboratory, clinical and radiologic findings herpes simplex (hsv) encephalitis is one of the most common central nervous system (cns) viral infections in adults.

Herpes Encephalitis
Herpes Encephalitis from www.asnr.org
Congenital brain abnormalities and zika virus: Serial mr study of an emerging disease. Hsv1 encephalitis should always be considered on initial mri. The images show symmetrical bilateral putaminal vasogenic oedema with mild restriction on diffusion and no bleed. The above described radiological findings are impressive of herpes simplex encephalitis. Mri is the preferred imaging modality for hsv encephalitis. Patient develop an increasing frequency of seizures and progressive. Herpes simplex (hsv) encephalitis is the most common cause of fatal sporadic fulminant necrotizing viral encephalitis and has characteristic imaging findings.

Herpes simplex encephalitis (hse) is the most common cause of fatal sporadic encephalitis worldwide.

Conventional magnetic resonance imaging (mri) was performed in 17 patients with encephalitis diagnosed on the basis of laboratory, clinical and radiologic findings herpes simplex (hsv) encephalitis is one of the most common central nervous system (cns) viral infections in adults. The imaging findings of hsv encephalitis on ct may be initially normal or subtly abnormal. Axial flair and coronal t2wi show atrophy of the left cerebral hemisphere with enlargement of the lateral ventricle. In some cases, advanced imaging techniques such as computed tomography and magnetic resonance imaging (mri) can maertzdorf j, et al. The images show symmetrical bilateral putaminal vasogenic oedema with mild restriction on diffusion and no bleed. Serial mr study of an emerging disease. Severe infection, particularly untreated herpes simplex virus (hsv) encephalitis, can cause brain hemorrhagic necrosis. Herpes simplex encephalitis is a type of infectious encephalitis which happens when herpes simplex virus (hsv) enters the brain. Looking to download safe free latest software now. Mri is the preferred imaging modality for hsv encephalitis. Patient develop an increasing frequency of seizures and progressive. Congenital brain abnormalities and zika virus: What the radiologist can expect to see prenatally and postnatally.

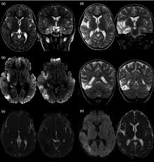
Mri brain diffusion and axial flair images show insular and medial temporal faint abnormal t2 hyper intensity with restricted diffusion on dw images. Axial flair and coronal t2wi show atrophy of the left cerebral hemisphere with enlargement of the lateral ventricle. Two subtypes are recognized which differ in demographics, virus, and pattern of involvement. Mri is the diagnostic modality of choice. Herpes simplex (hsv) encephalitis is the most common cause of fatal sporadic fulminant necrotizing viral encephalitis and has characteristic imaging findings.

Differential Diagnosis Of Temporal Lobe Lesions With Hyperintense Signal On T2 Weighted And Flair Sequences Pictorial Essay
Differential Diagnosis Of Temporal Lobe Lesions With Hyperintense Signal On T2 Weighted And Flair Sequences Pictorial Essay from www.scielo.br
The imaging findings of hsv encephalitis on ct may be initially normal or subtly abnormal. Patient develop an increasing frequency of seizures and progressive. Contributed by mark cohen, m.d. Herpes simplex encephalitis (hse) is the most common cause of fatal sporadic encephalitis worldwide. Mushroom sign of pyloric stenosis. In some cases, advanced imaging techniques such as computed tomography and magnetic resonance imaging (mri) can maertzdorf j, et al. Herpes simplex (hsv) encephalitis is the most common cause of fatal sporadic fulminant necrotizing viral encephalitis and has characteristic imaging findings. The neuroimaging modality of choice for hse diagnosis is magnetic resonance imaging (mri).

Mri brain diffusion and axial flair images show insular and medial temporal faint abnormal t2 hyper intensity with restricted diffusion on dw images.

Severe infection, particularly untreated herpes simplex virus (hsv) encephalitis, can cause brain hemorrhagic necrosis. Herpes simplex encephalitis (hse) is the most common cause of fatal sporadic encephalitis worldwide. Two subtypes are recognized which differ in demographics, virus, and pattern of involvement. Results in brain necrosis and liquefaction. Patient develop an increasing frequency of seizures and progressive. Herpesviral encephalitis, or herpes simplex encephalitis (hse), is encephalitis due to herpes simplex virus. But changes are not specific for hsv (e.g. Typical mri features of herpes simplex encephalitis. Multiple subtypes of the herpes virus family are neurotropic and may cause devastating neurologic injury. The mortality from hsv is high, so commencement of treatment with antiviral drugs (acyclovir) is recommended without delay with the typical radiological find. The images show symmetrical bilateral putaminal vasogenic oedema with mild restriction on diffusion and no bleed. Mushroom sign of pyloric stenosis. The above described radiological findings are impressive of herpes simplex encephalitis.

Hsv encephalitis, herpes simplex encephalitis hsv encephalitis mri. Herpes simplex encephalitis (hse) is the most common cause of fatal sporadic encephalitis worldwide.

Comments